by Carolyn Thomas ♥ @HeartSisters
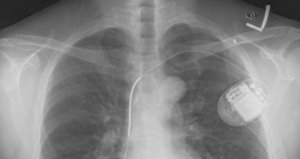
It’s nail-biting time for hundreds of thousands of patients worldwide who have had a Riata defibrillator implanted next to their hearts (79,000 in the U.S., 5,300 in Canada, 4,000 in Australia – just for starters). The recent news about the Riata recall might feel like being told you now have a ticking time bomb inside your chest. Trouble is, you just don’t know if that time bomb will start firing when it shouldn’t, or fail to fire in time to resuscitate your heart when it should.
And worse, neither does your doctor.
In December 2011, following reports of premature erosion of the insulation around the electrical conductor lead wires in these devices, the FDA ordered an urgent Class 1 recall (the most serious type of recall) of all Riata and Riata ST Silicone Endocardial Defibrillation Leads manufactured by St. Jude Medical Inc. Here is the FDA recommendation to all patients with these Riata devices implanted in their bodies:* Continue reading “ICD warning: defective defibrillator leads recalled”

by